
Addressing massive bone loss and avascular necrosis through high-fidelity anatomical reconstruction. By utilizing patient-specific CT data, we developed a 3D-printed titanium talus that restores joint height and preserves natural range of motion where traditional fusion would have failed.

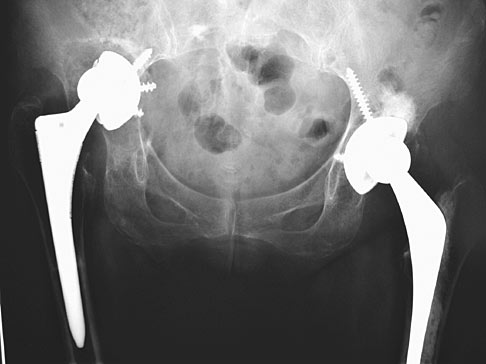
A modular solution for severe acetabular defects and pelvic discontinuity. This application utilizes a proprietary porous lattice structure to promote rapid bone in-growth and secondary stability. The engineered scaffolds provide the structural rigidity necessary for high-stress weight-bearing while maintaining a modulus of elasticity near that of native cancellous bone.

Custom-printed spacers designed for large-segment bone loss due to trauma or oncology. These implants serve as a structural bridge, engineered with internal channels to support biological fixation and bone transport techniques. Each device is optimized for load distribution to prevent stress shielding and ensure long-term mechanical integrity.
.png)
Join a trusted ecosystem dedicated to the advancement of 3D-printed implant technologies. We transform complex anatomical challenges into clinical successes through evidence-based innovation and regulatory transparency.